Full Mouth Restoration Gallery - Patient 141270
-
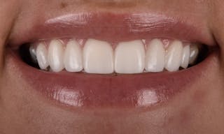
Full Mouth Restoration
This smile makeover addressed congenitally missing teeth with a custom combination of crowns, bridges, and implants. The result is a balanced, natural, and lasting smile.





















