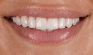
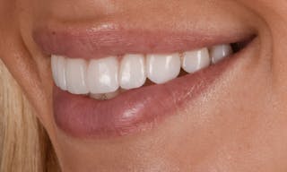
Prep-less Veneers Gallery - Patient 250395
After disappointing Invisalign results and concerns about shape and shade, this patient finally found her solution: 10 prepless veneers on her upper teeth. No aggressive prep. No compromise. Just a confident, radiant result.
























