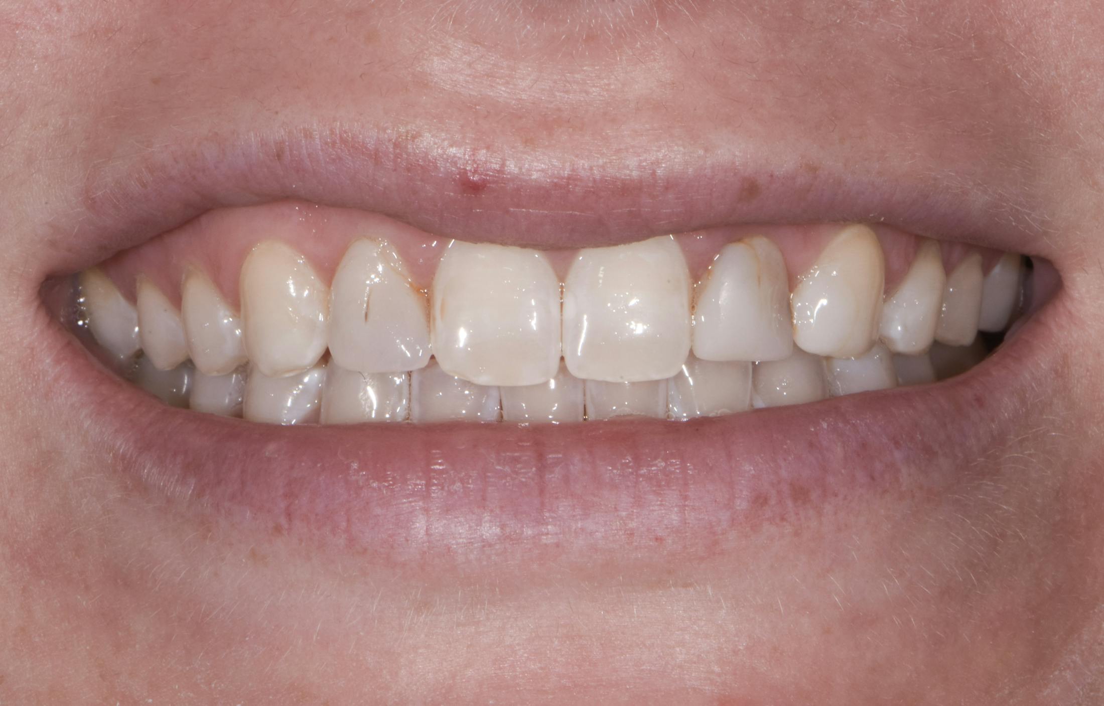
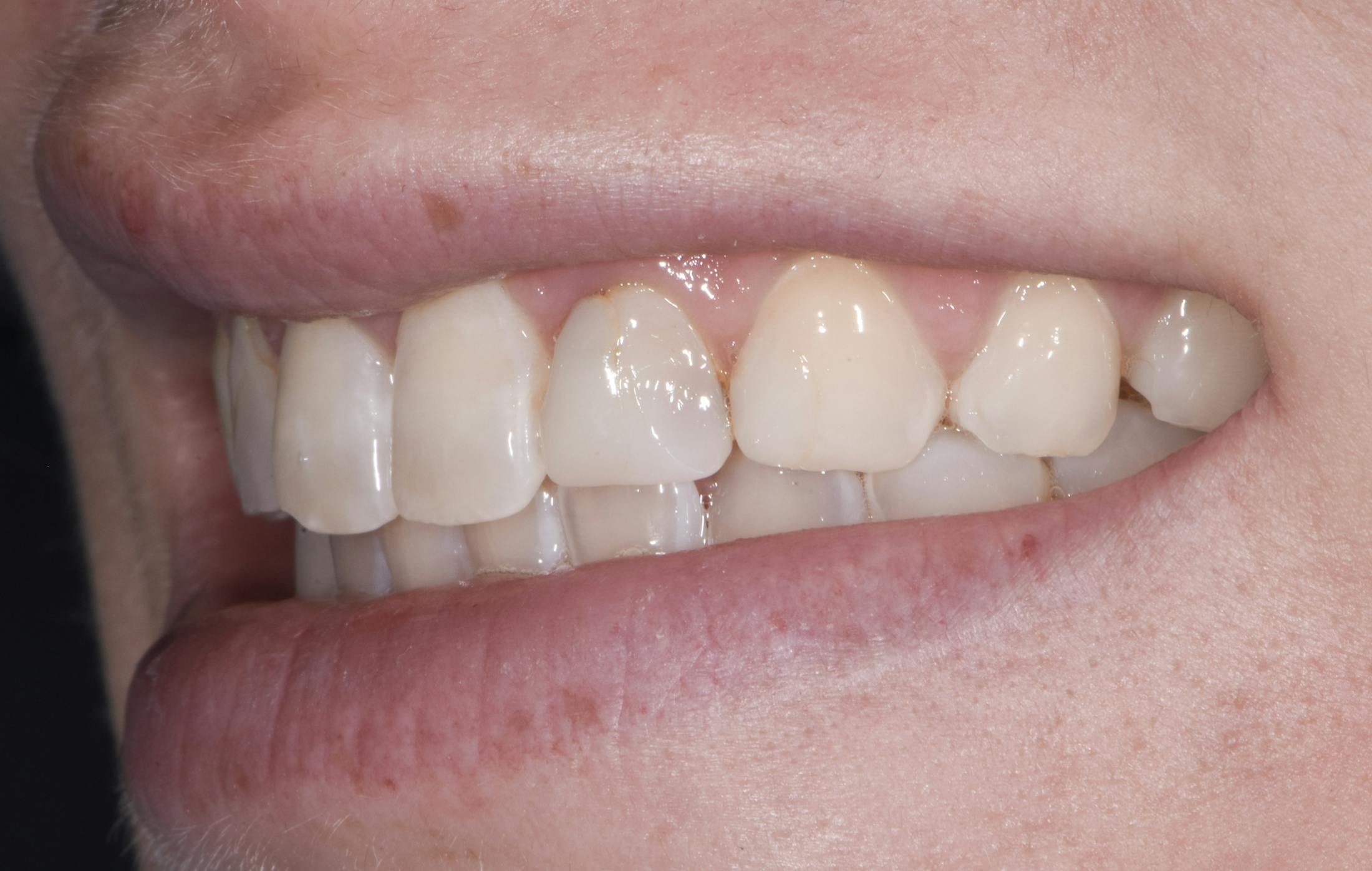
Prep-less Veneers Gallery - Patient 131079
This patient was a severe grinder and presented with dental bonding that was stained and failing. Eight prepless porcelain veneers provided a durable natural transformation giving her the smile of her dreams!





















