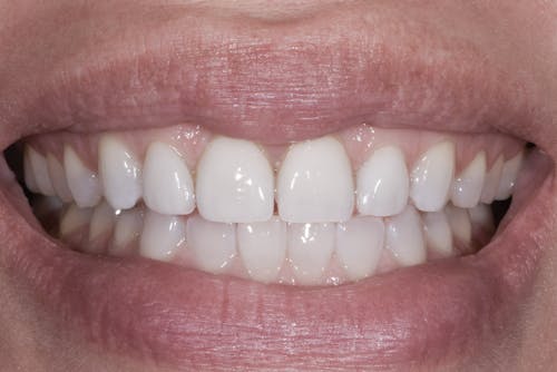
Restore strength, harmony, and elegance to your smile with beautifully crafted, custom dental crowns—designed to last and made to look entirely natural.
Why Choose Dr. Rink?
Dr. John Rink is one of the most trusted names in restorative and cosmetic dentistry for Johns Island residents, offering custom-crafted dental crowns with unparalleled attention to detail.
With decades of experience and advanced CEREC technology, he ensures your restoration is both beautiful and functional—completed in a single visit, yet built to last for years. Every smile is treated with care, precision, and a deep understanding of how aesthetics and oral health intersect. From consultation to final placement, you can expect exceptional results and a patient experience that exceeds expectations.


















